英文名称:Anti-BMP2
中文名称:BMP2抗体
抗体来源:兔子
克隆类型:多克隆
交叉反应:人、小鼠、大鼠、鸡、狗、猪、牛、马、豚鼠
产品应用:WB=1:500-2000 ELISA=1:500-1000 IHC-P=1:100-500 IHC-F=1:100-500 ICC=1:100-500 IF=1:100-500(石蜡切片需做抗原修复)
分 子 量:13/44kDa
细胞定位:分泌型蛋白
状态:冻干或液体
浓度:1mg/ml
来源于:KLH conjugated synthetic peptide derived from human BMP2:341-396/396
亚型:IgG
纯化方法:affinity purified by Protein A
储存液:0.01M TBS(pH7.4) with 1% BSA, 0.03% Proclin300 and 50% Glycerol.
别 名:Bone morphogenetic protein 2; BMP 2; BMP 2A; BMP2A; BMP-2; BMP2_HUMAN.
保存条件:在-20°C下保存一年。避免反复冻融。冻干抗体在室温下至少稳定一个月,并在-20°C下保持一年以上。当在无菌pH7.4 0.01M PBS或抗体稀释剂中重组时,抗体在2-4°C下至少稳定两周。
产品介绍:
bmp2属于分泌生长因子转化生长因子β(tgfb)超家族。它是一种二硫键联的同二聚体并诱导骨和软骨形成。除了成骨活性外,BMP2在心脏形态发生中起着重要作用,并在肺、脾、脑、肝、前列腺卵巢和小肠等多种组织中表达。BMP2的功能形式是一种26kDa的蛋白质,由两条相同的114氨基酸多肽链组成,通过一个二硫键连接。BMP控制胚胎早期发育、器官发生和成人组织内稳态的基本事件。
功能:
诱导软骨和骨形成。
子单元:
同二聚体;二硫键。与SOSDC1交互。与grem2、rgma、rgmb和rgmc交互。与ASPN交互。
亚细胞位置:
秘密的。
组织特异性:
特别是肺、脾和结肠中含量丰富,心脏、大脑、胎盘、肝脏、骨骼肌、肾脏、胰腺、前列腺、卵巢和小肠中含量低但显著。
相似性:
属于TGFβ家族。
重要提示:
本产品仅用于研究用途,不用于人类、治疗或诊断应用
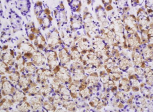
组织/细胞:大鼠胃组织;4%多聚甲醛固定石蜡包埋;
抗原提取:柠檬酸缓冲液(0.01M,pH 6),15min煮沸,用3%过氧化氢阻断内源性过氧化物酶30min;阻断缓冲液(正常山羊血清),在37℃下20 min;
孵育:抗-BMP2多克隆抗体,未结合1:200,在4∑C下过夜,然后与二级抗体结合,DAB染色。
公司优势:
1)质量:我司提供的的试剂为世界。
2)价格:价格实惠,量大从优。
4)服务:提供完整的售前、售后和售中服务。售后到底。
如需订购BMP2抗体,请联系我们。
| Anti-IL-6 (Interleukin-6) mouse、rat 白介素6抗体 |
| Anti-IL-6(Interleukin-6/interferon, beta 2)mouse rat 白介素6抗体 |
| Anti-IL-8(Interleukin-8)rat mouse 白介素8抗体 |
| Anti-ILK-1 (Integrin-linked protein kinase 1) 整合素连接激酶-1抗体 |
| anti-ING1/p33(inhibitor of growth gene 1) 生长抑制因子基因1抗体 |
| Anti-Inhibin α 抑制素α抗体 |