英文名称:Anti-Annexin V
中文名称:重组膜粘连蛋白5抗体(Annexin V)
抗体来源:兔
克隆类型:多克隆
交叉反应:人、小鼠、大鼠
产品应用:WB=1:500-2000 ELISA=1:500-1000 IHC-P=1:400-800 IHC-F=1:400-800 Flow-Cyt=1μg /test IF=1:100-500(石蜡切片需做抗原修复)
尚未在其他应用程序中测试。
用户终应确定合适稀释浓度。
分子量:36kDa
细胞定位:细胞膜
状态:冻干或液体
浓度:1mg/ml
来源于:recombind human Annexin V:
亚型:IgG
纯化方法:affinity purified by Protein A
储存液:0.01M TBS(pH7.4) with 1% BSA, 0.03% Proclin300 and 50% Glycerol.
别 名:Anchorin CI; Annexin 5; Annexin A5; Annexin V; Annexin5; AnnexinA5; AnnexinV; ANX 5; ANX A5; ANX5; ANXA5; Calphobindin I; CBP I; CBP-I; Endonexin II; ENX 2; ENX2; Lipocortin V; PAP I; Placental anticoagulant protein I; PAP-I; Placental anticoagulant protein 4; PP 4; PP4; Thromboplastin inhibitor; VAC alpha; Vascular anticoagulant alpha; Vascular anticoagulant-alpha; ANXA5_HUMAN; Anchorin CII; Annexin-5; VAC-alpha.
保存条件:在-20°C下保存一年。避免重复冻融循环。冻干抗体在室温下至少稳定一个月,并在-20°C下保持一年以上。当在无菌pH7.4 0.01M PBS或抗体稀释剂中重组时,抗体在2-4°C下至少稳定两周。
产品介绍
该基因编码的蛋白质属于钙依赖性磷脂结合蛋白的膜联蛋白家族,其中一些与细胞外和细胞内途径的膜相关事件有关。膜联蛋白5是一种具有钙通道活性的磷脂酶A2和蛋白激酶C抑制蛋白,在细胞信号转导、炎症、生长和分化中具有潜在作用。膜联蛋白5也被描述为胎盘抗凝蛋白I、血管抗凝剂α、内皮素II、脂皮质素V、胎盘蛋白4和锚蛋白CII。该基因跨越29kb,包含13个外显子,编码一个约1.6kb的单转录物和一个分子量约为35kDa的蛋白质产物。
功能
钙/磷脂结合蛋白,促进膜融合并参与胞吐。
亚单位
与pdcd6交互
S-亚硝基化是由干扰素γ和氧化修饰的低密度脂蛋白(LDL(OX))诱导的,可能与iNOS-S100A8/9转亚硝基化酶复合物有关
Annexin-V是一种分子量为35~36KD的Ca2+依赖性磷脂结合蛋白,能与PS高亲和力特异性结合。
将Annexin-V进行荧光素(FITC、PE)或biotin标记,以标记了的Annexin-V作为荧光探针,利用流式细胞仪或荧光显微镜可检测细胞凋亡的发生。
其意义:检测早期凋亡的细胞,同时可区分活细胞和坏死细胞 磷脂酰丝氨酸(Phosphatidylserine,PS)正常位于细胞膜的内侧,但在细胞凋亡的早期,PS可从细胞膜的内侧翻转到细胞膜的表面,暴露在细胞外环境中。
碘化丙啶(propidine iodide,PI)是一种核酸染料,它不能透过完整的细胞膜,但在凋亡中晚期的细胞和死细胞,PI能够透过细胞膜而使细胞核红染。因此将Annexin-V与PI匹配使用,就可以将凋亡早晚期的细胞以及死细胞区分开来。
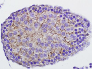
组织/细胞:大鼠睾丸组织;4%多聚甲醛固定石蜡包埋;
抗原提取:柠檬酸缓冲液(0.01M,pH 6),15min煮沸,用3%过氧化氢阻断内源性过氧化物酶30min;阻断缓冲液(正常山羊血清),在37℃下20 min;
孵育:抗膜联蛋白V多克隆抗体,未结合 1:500,4 C过夜,然后与二级抗体结合,DAB染色。
重要注意事项:
本产品仅用于研究用途,不用于人类、治疗或诊断应用。
公司优势:
1)质量:我司提供的的试剂为世界
2)价格:价格实惠,量大从优。
4)服务:提供完整的售前、售后和售中服务。售后到底
如需订购重组膜粘连蛋白5抗体(Annexin V),请联系我们。
| Anti-ACTH (Adrenorticotrophin hormons 7-23) 促肾上腺皮质激素(7-23)抗体 |
| Anti-Actin α /α-SMA (Actin alpha , smooth muscle aorta) 肌动蛋白α抗体 |
| Anti-AD7C-NTP/NTP/AF (Neurual thread protein) 神经丝蛋白抗体 |
| Anti-ADAM-TS1/METH1(a disintegrin and metalloproteinase with-thrombospodin type 1) 整合素样金属蛋白酶与凝血酶1型(抗体) |
| Anti-ADAM-TS7 (A Disintegrin-like and Metalloprotease with Thrombospondin Type 1 Motif, 7) 整合素样金属蛋白酶与凝血酶1型-7(N端抗体) |