英文名称:Anti-ASC
中文名称:凋亡相关斑点样蛋白ASC抗体
抗体来源:兔
克隆类型:多克隆
交叉反应:人、大鼠、小鼠、狗、猪、牛、马、兔子
产品应用:WB=1:500-2000 ELISA=1:500-1000 IHC-P=1:400-800 IHC-F=1:400-800 Flow-Cyt=1ug/test IF=1:100-500(石蜡切片需做抗原修复)
尚未在其他应用程序中测试。
用户终应确定合适稀释浓度。
分子量:22kDa
细胞定位:细胞核 细胞浆
状态:冻干或液体
浓度:1mg/ml
来源于:KLH conjugated synthetic peptide derived from human TMS1/ASC:31-130/195
亚型:IgG
纯化方法:affinity purified by Protein A
储存液:0.01M TBS(pH7.4) with 1% BSA, 0.03% Proclin300 and 50% Glycerol.
别 名:TMS1; Apoptosis associated speck like protein containing a CARD; Apoptosis-associated speck-like protein containing a CARD; ASC_HUMAN; CARD 5; CARD5; Caspase recruitment domain containing protein 5; Caspase recruitment domain protein 5; Caspase recruitment domain-containing protein 5; hASC; MGC10332; PYCARD; TMS-1; PYD and CARD domain containing; PYD and CARD domain containing protein; PYD and CARD domain-containing protein; Target of methylation induced silencing 1; Target of methylation-induced silencing 1; TMS 1.
保存条件:在-20°C下保存一年。避免重复冻融循环。冻干抗体在室温下至少稳定一个月,并在-20°C下保持一年以上。当在无菌pH7.4 0.01M PBS或抗体稀释剂中重组时,抗体在2-4°C下至少稳定两周。
产品介绍
促进caspase介导的凋亡。这种凋亡前活性主要通过半胱天冬酶9的激活介导。可能是炎症小体的一个组成部分,这是一种蛋白质复合物,也包括NALP2、CARD8和casp1,其功能是激活促炎性caspase。组织特异性:广泛表达于低水平。在外周血白细胞、肺、小肠、脾脏、胸腺、结肠和胎盘、肝脏和肾脏的较低水平检测。骨骼肌、心脏和大脑的表达非常低。在白血病细胞株HL-60和U937中检出,但在Jurkat T细胞淋巴瘤和Daudi Burkitt淋巴瘤中未检出。
功能:
促进caspase介导的凋亡。这种凋亡前活性主要通过半胱天冬酶9的激活介导。可能是炎症小体的一个组成部分,这是一种蛋白质复合物,也包括NALP2、CARD8和casp1,其功能是激活促炎性caspase。
Subunit:
与其他含dapin结构域的蛋白质形成复合物。与CIAS1/PYPAF1和PYDC1相互作用。
亚细胞位置:
细胞质。注=caspase激活上游,发生从细胞质到聚集物的再分布。它们看起来是中空的,核周球形的,球状的结构。
组织特异性:
广泛表达于低水平。在外周血白细胞、肺、小肠、脾脏、胸腺、结肠和胎盘、肝脏和肾脏的较低水平检测。骨骼肌、心脏和大脑的表达非常低。在白血病细胞株HL-60和U937中检出,但在Jurkat T细胞淋巴瘤和Daudi Burkitt淋巴瘤中未检出。在黑色素瘤细胞系wm35中检测到,但在wm793中没有检测到。未检出宫颈癌细胞和MolT 4淋巴细胞白血病细胞。
本产品仅用于研究用途,不用于人类、治疗或诊断应用。
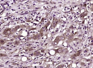
多聚甲醛固定,石蜡包埋(人胃癌);用柠檬酸钠缓冲液(pH6.0)煮沸15min后获得抗原;用3%过氧化氢阻断内源过氧化物酶20分钟;阻断缓冲液(正常山羊血清)37℃30min;抗体(AsC)多克隆抗体在1:40孵育。0在4°C下过夜,然后根据SP试剂盒(兔子)说明和DAB染色进行操作。
重要注意事项:
本产品仅用于研究用途,不用于人类、治疗或诊断应用。
公司优势:
1)质量:我司提供的的试剂为世界
2)价格:价格实惠,量大从优。
4)服务:提供完整的售前、售后和售中服务。售后到底
如需订购凋亡相关斑点样蛋白ASC抗体,请联系我们。
| Anti-CD272/BTLA(B and T lymphocyte attenuator) B和T淋巴细胞衰减蛋白抗体 |
| Anti-CD2AP (CD2-associated protein) 白细胞分化抗原CD2AP抗体 |
| Anti-CD3 CD3抗体 |
| Anti-CD3(Mouse Anti-Human CD3 Monoclonal Antibody) 鼠抗人CD3单克隆抗体 |
| Anti-CD31(PECAM-1) 血小板内皮细胞黏附分子-1抗体 |
| Anti-CD31(PECAM-1) 血小板内皮细胞黏附分子-1抗体 |
| Anti-CD34 CD34抗体(细胞表面的唾液粘蛋白) |
| Anti-CD36 CD36抗体 |