您的位置: 网站首页 >> 产品中心 >> >> 抗体 > 乙醛脱氢酶1型抗体(ALDH1A1)
产品名称:

乙醛脱氢酶1型抗体(ALDH1A1)

产品型号: 产品时间: 2023-03-08
乙醛脱氢酶1型抗体(ALDH1A1)属于蛋白质的醛脱氢酶家族醛脱氢酶是乙醇代谢主要氧化途径的第二种酶。这种酶的两种主要肝亚型即细胞溶质和线粒体,可以通过其电泳迁移率、动力学特性和亚细胞定位来区分。大多数白种人有两个主要的同工酶,而大约50%的东方人只有胞质同工酶,缺少线粒体同工酶。东方人急性酒精中毒的频率明显高于白种人,这可能与线粒体同工酶的缺失有关。这个基因编码一种对醛类有高度亲和力的胞质亚型。

产品概述

英文名称:Anti-ALDH1A1​

中文名称:乙醛脱氢酶1型抗体(ALDH1A1)

抗体来源:兔

克隆类型:多克隆

交叉反应:人、大鼠、小鼠、牛、马、兔、羊​​​

产品应用:WB=1:500-2000 ELISA=1:500-1000 IHC-P=1:400-800 IHC-F=1:400-800 ICC=1:100-500 IF=1:100-500(石蜡切片需做抗原修复)  ​

尚未在其他应用程序中测试。

用户终应确定合适稀释浓度。

分子量:54kDa

细胞定位:细胞浆

状态:冻干或液体

浓度:1mg/ml

来源于:KLH conjugated synthetic peptide derived from human ALDH1:201-300/501

亚型:IgG

纯化方法:affinity purified by Protein A

储存液:0.01M TBS(pH7.4) with 1% BSA, 0.03% Proclin300 and 50% Glycerol.

​别    名:cytosolic; Acetaldehyde dehydrogenase 1; AHD2; Ahd-2; AL1A1_HUMAN; ALDC; Aldehyde dehydrogenase 1 family member A1; Aldehyde dehydrogenase 1 soluble; Aldehyde dehydrogenase 1A1; Aldehyde Dehydrogenase; Aldehyde dehydrogenase cytosolic; Aldehyde dehydrogenase family 1 member A1; Aldehyde dehydrogenase liver cytosolic; ALDH 1; ALDH 1A1; ALDH class 1; ALDH-E1; ALDH1 A1; ALDH1; ALDH11; ALHDII; MGC2318; PUMB1; RALDH 1; RalDH1; Retinal dehydrogenase 1; ALDEHYDE DEHYDROGENASE A1; Aldehyde Dehydrogenase Family 1, Subfamily A1.​

保存条件:在-20°C下保存一年。避免重复冻融循环。冻干抗体在室温下至少稳定一个月,并在-20°C下保持一年以上。当在无菌pH7.4 0.01M PBS或抗体稀释剂中重组时,抗体在2-4°C下至少稳定两周。

产品介绍

该蛋白属于蛋白质的醛脱氢酶家族。醛脱氢酶是乙醇代谢主要氧化途径的第二种酶。这种酶的两种主要肝亚型,即细胞溶质和线粒体,可以通过其电泳迁移率、动力学特性和亚细胞定位来区分。大多数白种人有两个主要的同工酶,而大约50%的东方人只有胞质同工酶,缺少线粒体同工酶。东方人急性酒精中毒的频率明显高于白种人,这可能与线粒体同工酶的缺失有关。这个基因编码一种对醛类有高度亲和力的胞质亚型。[由RefSeq提供]

 

功能:

结合游离视网膜和细胞视网膜结合蛋白结合视网膜。可将视网膜醛转化/氧化为视黄酸。

 

Subunit:

同聚二聚体

 

亚细胞位置:

细胞质。

 

组织特异性:

在肝、肺和睾丸中表达。显然在肾脏、胃、卵巢、心脏和大脑中未检测到表达。

 

相似性:

属于醛脱氢酶家族。

​本产品仅用于研究用途,不用于人类、治疗或诊断应用。​

​​​​​​​​​​​​​​

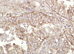
多聚甲醛固定,石蜡包埋(人肺癌);用柠檬酸钠缓冲液(pH6.0)煮沸15min后获得抗原;用3%过氧化氢阻断内源性过氧化物酶20分钟;在37℃下封闭缓冲液(正常山羊血清)30min;在1∶400 O下用(ALDH1)多克隆抗体进行抗体孵育。在4°C下观察,然后用共轭二次进行20分钟的DAB染色。

重要注意事项:

本产品仅用于研究用途,不用于人类、治疗或诊断应用。

公司优势:
1)质量:我司提供的的试剂为世界
2)价格:价格实惠,量大从优。
4)服务:提供完整的售前、售后和售中服务。售后到底

如需订购乙醛脱氢酶1型抗体(ALDH1A1)​,请联系我们。

Anti-Dnmt3β (DNA (cytosine-5)-methyltransferase 3 β)  DNA甲基转移酶-3β抗体
Anti-DPPA2 (developmental pluripotency associated gene2)  多能发育相关基因2抗体
Anti-DR3/TNF-αR/TRAMP (death receptor 3)  TNF-α膜受体抗体/DR3 死亡受体3抗体
Anti-DR4/APO2/TRAILR1 (Death receptor 4)  死亡受体4抗体
Anti-DTNBP1 (Dysbindin-1)  精神分裂症易感基因抗体
Anti-DVL1 (dishevelled 1)  蓬乱蛋白1抗体
Anti-Dynamin 2(Mouse Anti-Human Dynamin-2 Monoclonal Antibody)  鼠抗人鸟苷三磷酸酶-发动蛋白2单克隆抗体
Anti-Dynamin 2(Anti-Human Dynamin-2 )  兔抗人鸟苷三磷酸酶-发动蛋白2抗体

留言框

  • 产品:

  • 您的单位:

  • 您的姓名:

  • 联系电话:

  • 常用邮箱:

  • 省份:

  • 详细地址:

  • 补充说明:

  • 验证码:

    请输入计算结果(填写阿拉伯数字),如:三加四=7
分享到:
版权所有©2019 上海晅科生物科技有限公司 备案号:京ICP证000000号
  • 扫一扫,关注我们