英文名称:Anti-B MyB
中文名称:转录因子MYB相关蛋白B抗体(B-Myb)
抗体来源:兔子
克隆类型:多克隆
交叉反应:人、小鼠、大鼠、狗、猪、牛、马、兔子
产品应用:ELISA=1:500-1000 IHC-P=1:100-500 IHC-F=1:100-500 IF=1:200-800(石蜡切片需做抗原修复)
分 子 量:77kDa
细胞定位:细胞核
状态:冻干或液体
浓度:1mg/ml
来源于:KLH conjugated synthetic peptide derived from human B MyB:101-200/700
亚型:IgG
纯化方法:affinity purified by Protein A
储存液:0.01M TBS(pH7.4) with 1% BSA, 0.03% Proclin300 and 50% Glycerol.
别 名:B-Myb; BMyB; MYB L2; Myb related protein B; Myb-like protein 2; Myb-related protein B; MybB; MYBB_HUMAN; MYBL 2; Mybl2; v myb avian myeloblastosis viral oncogene homolog like 2; v myb myeloblastosis viral oncogene homolog (avian) like 2; v myb myeloblastosis viral oncogene homolog like 2.
保存条件:在-20°C下保存一年。避免反复冻融。冻干抗体在室温下至少稳定一个月,并在-20°C下保持一年以上。当在无菌pH7.4 0.01M PBS或抗体稀释剂中重组时,抗体在2-4°C下至少稳定两周。
产品介绍:
myb相关蛋白b(mybl2)是转录因子基因myb家族的一员,是一种参与调节细胞存活、增殖和分化的核蛋白。已证实激活细胞分裂周期2、细胞周期蛋白D1和胰岛素样生长因子结合蛋白5基因。
子单元:
DREAM复合体的组成部分(也称为Linc复合体),至少由E2F4、E2F5、Lin9、Lin37、Lin52、Lin54、MyBL1、MyBL2、RBL1、RBL2、RBBP4、TFDP1和TFDP2组成。这种复合物存在于静止细胞中,抑制细胞周期依赖性基因。当lin9、lin37、lin52和lin54形成一个子丛并结合到mybl22时,它在s相解离。
亚细胞位置:
原子核。
组织特异性:
参与调节细胞存活、增殖和分化的转录因子。激活clu基因的表达。
相似性:
包含3个HTH myb型DNA结合域。
重要提示:
本产品仅用于研究用途,不用于人类、治疗或诊断应用
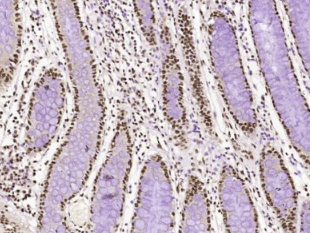
多聚甲醛固定,石蜡包埋(人结肠癌);用柠檬酸钠缓冲液(pH6.0)煮沸15min后获得抗原;用3%过氧化氢阻断内源性过氧化物酶20分钟;在37℃下封闭缓冲液(正常山羊血清)30min;用(B MYB)PO进行抗体孵育。未结合的单克隆抗体在1:400下在4°C下过夜,然后根据SP试剂盒(兔子)说明和DAB染色进行操作。
公司优势:
1)质量:我司提供的的试剂为世界。
2)价格:价格实惠,量大从优。
4)服务:提供完整的售前、售后和售中服务。售后到底。
如需订购转录因子MYB相关蛋白B抗体(B-Myb),请联系我们。
| Anti-CD36 CD36抗体 |
| Anti-CD4(Mouse Anti-Human CD4 Monoclonal) 鼠抗人CD4单克隆抗体 |
| Anti-CD4(Rabbit Anti-Human Mouse rat CD4 Palyclonal Antibody) CD4抗体 |
| Anti-CD4(Rabbit Anti-Human Mouse rat CD4 Palyclonal Antibody) CD4抗体 |
| anti-CD40L (CD40 Ligand/TNFSF5/CD154) 抗CD40L抗体 |