英文名称:Anti-phospho-BAD (Ser128)
中文名称:磷酸化BAD抗体
抗体来源:兔子
克隆类型:多克隆
交叉反应:人、小鼠、大鼠
产品应用:WB=1:500-2000 ELISA=1:500-1000 IHC-P=1:100-500 IHC-F=1:100-500 Flow-Cyt=1ug/Test ICC=1:100-500 IF=1:100-500(石蜡切片需做抗原修复)
分 子 量:22kDa
细胞定位:细胞浆 细胞膜
状态:冻干或液体
浓度:1mg/ml
来源于:KLH conjugated Synthesised phosphopeptide derived from mouse BAD around the phosphorylation site of Ser128:EL(p-S)PF
亚型:IgG
纯化方法:affinity purified by Protein A
储存液:0.01M TBS(pH7.4) with 1% BSA, 0.03% Proclin300 and 50% Glycerol.
别 名:Bad (phospho S128); Bad (phospho Ser128); p-Bad (S128);p- Bad (Ser128); p-Bad (phospho Ser128); BBC 2; BBC2; BBC6; Bcl 2 Antagonist of Cell Death; Bcl 2 Binding Component 6; BCL X / BCL 2 Binding Protein; BCL X Binding Protein; Bcl XL/Bcl 2 Associated Death Promoter; Bcl-2-like protein 8; Bcl2 antagonist of cell death; BCL2 antagonist of cell death protein; BCL2 associated agonist of cell death; Bcl2 Associated Death Promoter; BCL2 binding component 6; BCL2 binding protein; Bcl2 Like 8 Protein; Bcl2-L-8; BCL2L8; BclXL; Proapoptotic BH3 Only Protein; BAD_HUMAN; Bcl-2-binding component 6.
保存条件:在-20°C下保存一年。避免反复冻融。冻干抗体在室温下至少稳定一个月,并在-20°C下保持一年以上。当在无菌pH7.4 0.01M PBS或抗体稀释剂中重组时,抗体在2-4°C下至少稳定两周。
产品介绍:
BAD是bcl2家族的成员,通过与生存蛋白bcl2和bclxl形成异二聚体来促进凋亡,从而阻止它们与bax结合。BAD存在于线粒体外膜,一旦对生长作出磷酸化反应,就会转移到细胞质。BAD的磷酸化状态是死亡或细胞存活的关键检查点。JNK诱导的bad丝氨酸128磷酸化通过抑制生长因子对bad介导的凋亡的抑制作用来促进bad的凋亡作用。CDC2诱导的坏丝氨酸128磷酸化对其与14-3-3蛋白的相互作用有抑制作用。后一种相互作用对丝氨酸155的磷酸化作用至关重要,丝氨酸155是bh3结构域内一个导致bclxl释放和促进细胞存活的位点。该基因的选择性剪接导致两个转录变体编码相同的亚型。
功能:
促进细胞死亡。成功竞争与bcl-x(l)、bcl-2和bcl-w的结合,从而影响这些蛋白与bax的异二聚化水平。能逆转bcl-x(L)的死亡抑制因子活性,但不能逆转bcl-2的死亡抑制因子活性。似乎在生长因子受体信号和凋亡途径之间起着联系。
子单元:
与抗凋亡蛋白Bcl-X(L)、Bcl-2和Bcl-W形成异二聚体,并结合蛋白S100A10。ser-75/ser-99磷酸化形式结合14-3-3蛋白质。与AKT1和PIM3相互作用。
亚细胞位置:
线粒体外膜。细胞质。注=磷酸化后,定位于细胞质。
组织特异性:
在多种组织中表达。
翻译后修改:
在一个或多个ser-75、ser-99、ser-118和ser-134上磷酸化,以响应生存刺激,阻止其促凋亡活性。ser-99或ser-75上的磷酸化促进14-3-3蛋白质的异二聚化。这种相互作用促进了SER-118的磷酸化,SER-118是THBH3基序中的一个位点,从而导致BCL-X(L)的释放和细胞存活的促进。SER-99是AKT/PKB磷酸化的主要位点,SER-118是蛋白激酶A(capk)磷酸化的主要位点。pkb/akt1在ser-99处的磷酸化几乎*被caspases-3在凋亡过程中产生的pkn2的凋亡c端裂解产物所阻断。
prmt1在arg-94和arg-96处的甲基化抑制了在ser-99处Akt介导的磷酸化。
重要提示:
本产品仅用于研究用途,不用于人类、治疗或诊断应用
BAD是BCL2/BAX、BCL-XL/BAX异二聚体的负调节基因。BAD是BCL2/BCL-XL相关死亡促进因子,作为BCL2、 bCL-XL异二聚体伴分子而促进细胞凋亡。
有学者认为:BAD缺乏典型的羧基端跨膜结构,提示其并非一完整膜蛋白。与同BCL2作用相比,BAD与BCL-XL的结合更强,BAD以浓度依赖性方式替换BCL-XL/BAX、BCL2/BAX异二聚体中的BAX,使BAX游离而促进细胞凋亡。当一细胞系的所有细胞内异二聚体(BCL-XL/BAX和BCL2/BAX)的含量≥50%时,则细胞耐受凋亡;而当细胞内BAX同二聚体>80%时且在适当信号诱导下则细胞出现凋亡。这表明BAD通过调节BAX同二聚体与异二聚体量的比值而介导凋亡。
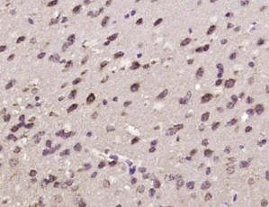
多聚甲醛固定,石蜡包埋(小鼠脑组织);用柠檬酸钠缓冲液(pH6.0)煮沸15min后提取抗原;用3%过氧化氢阻断内源过氧化物酶20分钟;阻断缓冲液(正常山羊血清)37℃30min;抗体孵育不良(Ser128)。)多克隆抗体,未结合,1:400,4°C下过夜,然后根据SP试剂盒(兔子)说明和DAB染色进行操作。
公司优势:
1)质量:我司提供的的试剂为世界。
2)价格:价格实惠,量大从优。
4)服务:提供完整的售前、售后和售中服务。售后到底。
如需订购磷酸化BAD抗体,请联系我们。
| Anti-GRK2 (G-protein coupled receptor kinase 2) G蛋白偶合受体激酶2抗体 |
| Anti-GRM2 (Glutamate Receptor Metabotropic 2) 代谢型谷氨酸受体2 |
| Anti-GRM3 (Glutamate Receptor Metabotropic 3) 代谢型谷氨酸受体3 |
| Anti-GRM5 (Glutamate Receptor Metabotropic 5) 代谢型谷氨酸受体5 |