您的位置: 网站首页 >> 产品中心 >> >> 抗体 > ADAMTS7(NT)抗体
产品名称:

ADAMTS7(NT)抗体

产品型号: 产品时间: 2023-03-08
可能在comp降解中起作用的金属蛋白酶。每个亚单位结合1个锌离子。酸碱度:酸碱度在7.5~9.5之间。【亚细胞定位】分泌的,细胞外空间,细胞外基质(通过相似性)。注=也发现与心脏、大脑、胎盘、肺、肝脏、骨骼肌、肾脏和胰腺中表达的外部细胞表面[组织特异性]有关。在半月板、骨骼、肌腱、软骨、滑膜、脂肪和韧带中检测。关节炎患者关节软骨和滑膜表达上调。ADAMTS7(NT)抗体

产品概述

英文名称:ADAMTS7(NT)抗体​​

中文名称:整合素样金属蛋白酶与凝血酶1型-7抗体 (N端抗体)

抗体来源:兔

克隆类型:多克隆

交叉反应:人、大鼠、小鼠​​​、​

产品应用:WB=1:500-2000 ELISA=1:500-1000 IHC-P=1:400-800 IHC-F=1:400-800 IF=1:100-500(石蜡切片需做抗原修复)  ​

尚未在其他应用程序中测试。

用户终应确定合适稀释浓度。

分子量:158kDa

细胞定位:细胞膜 细胞外基质 分泌型蛋白 ​

状态:冻干或液体

浓度:1mg/ml

来源于:KLH conjugated synthetic peptide derived from rat ADAMTS7:241-340/1595 ​

亚型:IgG

纯化方法:affinity purified by Protein A

储存液:0.01M TBS(pH7.4) with 1% BSA, 0.03% Proclin300 and 50% Glycerol.

​别    名:A disintegrin and metalloproteinase with thrombospondin motifs 7; ADAM metallopeptidase with thrombospondin type 1 motif 7; A disintegrin and metalloprotease with thrombospondin motifs 7 preproprotein; A disintegrin and metalloproteinase with thrombospondin motifs 7; A disintegrin like and metalloprotease (reprolysin type) with thrombospondin type 1 motif 7; A disintegrin like and metalloprotease with thrombospondin type 1 motif 7; ADAM metallopeptidase with thrombospondin type 1 motif 7; ADAM metallopeptidase with thrombospondin type 1 motif 7 preproprotein; ADAM TS 7; ADAM TS7; ADAMTS 7; ADAMTS7; COMPase; DKFZp434H204; ATS7_MOUSE.  ​

保存条件:在-20°C下保存一年。避免重复冻融循环。冻干抗体在室温下至少稳定一个月,并在-20°C下保持一年以上。当在无菌pH7.4 0.01M PBS或抗体稀释剂中重组时,抗体在2-4°C下至少稳定两周。

产品介绍

可能在comp降解中起作用的金属蛋白酶。每个亚单位结合1个锌离子。酸碱度:酸碱度在7.5~9.5之间。【亚细胞定位】分泌的,细胞外空间,细胞外基质(通过相似性)。注=也发现与心脏、大脑、胎盘、肺、肝脏、骨骼肌、肾脏和胰腺中表达的外部细胞表面[组织特异性]有关。在半月板、骨骼、肌腱、软骨、滑膜、脂肪和韧带中检测。关节炎患者关节软骨和滑膜表达上调。

 

功能:

可能在comp降解中起作用的金属蛋白酶。

 

Subunit:

与公司互动。

 

亚细胞位置:

分泌的,细胞外间隙,细胞外基质。注=也发现与外部细胞表面相关。

 

组织特异性:

在心脏、大脑、胎盘、肺、肝脏、骨骼肌、肾脏和胰腺中表达。在半月板、骨骼、肌腱、软骨、滑膜、脂肪和韧带中检测。

 

翻译后修改:

N-糖基化。

O-糖基化蛋白聚糖。含有硫酸软骨素(相似)。

可能被一个弗林内肽酶(通过相似性)分裂。前体按顺序加工。

 

相似性:

包含1个分解域。

包含1个肽酶M12b结构域。

包含1个plac域。

​​​​​​​​​​​

重要注意事项:

本产品仅用于研究用途,不用于人类、治疗或诊断应用。

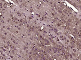
多聚甲醛固定,石蜡包埋(小鼠脑);用柠檬酸钠缓冲液(pH6.0)煮沸15min;用3%过氧化氢阻断内源过氧化物酶20分钟;阻断缓冲液(正常山羊血清)37℃30min;抗体(AdAMTS7(NT))多克隆抗体在1:400 OV下孵育在4°C下加热,然后根据SP试剂盒(兔子)说明和DAB染色进行操作。

公司优势:
1)质量:我司提供的的试剂为世界
2)价格:价格实惠,量大从优。
4)服务:提供完整的售前、售后和售中服务。售后到底

如需订购ADAMTS7(NT)抗体​​​​​​​,请联系我们。

Anti-fgl2 (Fibrinogen-like 2)  凝血酶原酶抗体/纤维介素蛋白/前凝血素抗体
anti-Fibulin 1  抗“衰老关键蛋白”抗体
Anti-Fibulin-5  抗“衰老关键蛋白”抗体
Anti-FLIP S/L (Flice-like Inhibitory Protein)  凋亡调节基因之一抗体
Anti-FLIPS (Flice-like Inhibitory Protein S)  凋亡调节基因之一抗体(短型)
Anti-FN (Fibronectin)  纤维连结蛋白抗体
Anti-FOSB  FosB抗体
Anti-FOSL1 (FOS-like antigen-1)  FOSL1抗体
Anti-FOSL2 (FOS-like antigen-2)  FOSL2抗体
anti-FoxP1(Forkhead box P1)  FoxP1(T细胞转录因子)抗体
Anti-FoxP3  叉头蛋白3-T细胞转录因子
anti-Measles virus of fusion protein  抗麻疹病毒抗体(麻疹病毒融合蛋白)
Anti-FSH (Anti-Human Follicle Stimulating Hormone Monoclonal Antibody)  鼠抗人促卵泡生成素单克隆抗体

留言框

  • 产品:

  • 您的单位:

  • 您的姓名:

  • 联系电话:

  • 常用邮箱:

  • 省份:

  • 详细地址:

  • 补充说明:

  • 验证码:

    请输入计算结果(填写阿拉伯数字),如:三加四=7
分享到:
版权所有©2019 上海晅科生物科技有限公司 备案号:京ICP证000000号
  • 扫一扫,关注我们