英文名称:Anti-Bub1
中文名称:纺锤体检查点蛋白抗体(Bub1)
抗体来源:兔子
克隆类型:多克隆
交叉反应:人、小鼠、大鼠、狗、牛、马、兔子
产品应用:WB=1:500-2000 ELISA=1:500-1000 IHC-P=1:100-500 IHC-F=1:100-500 IF=1:100-500(石蜡切片需做抗原修复)
分 子 量:122kDa
细胞定位:细胞核
状态:冻干或液体
浓度:1mg/ml
来源于:KLH conjugated synthetic peptide derived from human Bub1:951-1085/1085
亚型:IgG
纯化方法:affinity purified by Protein A
储存液:0.01M TBS(pH7.4) with 1% BSA, 0.03% Proclin300 and 50% Glycerol.
别 名:Bub1; BUB1 budding uninhibited by benzimidazoles 1 homolog; BUB1 budding uninhibited by benzimidazoles 1 homolog (yeast); BUB1_HUMAN; BUB1A; BUB1L; Budding uninhibited by benzimidazoles 1 (yeast homolog); Budding uninhibited by benzimidazoles 1 homolog; hBUB1; Mitotic checkpoint serine/threonine protein kinase BUB1; Mitotic checkpoint serine/threonine-protein kinase BUB1; Mitotic spindle checkpoint kinase; Putative serine/threonine protein kinase.
保存条件:在-20°C下保存一年。避免反复冻融。冻干抗体在室温下至少稳定一个月,并在-20°C下保持一年以上。当在无菌pH7.4 0.01M PBS或抗体稀释剂中重组时,抗体在2-4°C下至少稳定两周。
产品介绍:
Bub1初通过cDNA筛选被鉴定为与酵母蛋白的哺乳动物同系物。bub1编码参与纺锤体检查点形成的激酶,这是一种确保高保真有丝分裂染色体分离的重要机制。它被认为是通过靶向Shugoshim蛋白和中期国会组装功能性内着丝粒、姐妹染色单体凝聚所必需的。bub1通过磷酸化有丝分裂检查点复合体的成员cdc20并激活纺锤体检查点发挥作用。一种相关蛋白激酶bub3与bub1相互作用,并在染色体排列前将其定位于运动细胞。BUB1突变与非整倍体和多种癌症有关。
功能:
丝氨酸/苏氨酸蛋白激酶,在有丝分裂过程中起2个关键作用:对纺锤体装配检查点信号和正确的染色体排列至关重要。在动粒细胞的检查点蛋白装配中起着关键作用,这是随后对CENPF、BUB1B、CENPE和MAD2L1进行定位所必需的。需要PLK1的动粒定位。在定义sgol1定位中起着重要作用,从而影响姐妹染色单体的凝聚力。作为后期促进复合物或环体(apc/c)及其激活剂cdh1(apc/c-cdh1)的底物。确保正确的染色体分离和与bub3结合对于这种功能是必要的。能以不依赖动粒的方式调控染色体分离。可以磷酸化bub3。当纺锤装配检查点被激活时,bub1-bub3复合物在抑制apc/c中起作用,并通过磷酸化其激活剂cdc20抑制apc/c的泛素连接酶活性。这种复合物也可以磷酸化mad1l1。激酶活性对抑制APC/CCDC20和染色体对中至关重要,但在纺锤体装配检查点活性中不起主要作用。介导对染色体错配的细胞死亡反应,并抑制自发肿瘤发生。
子单元:
与bub3和casc5相互作用。与plk1相互作用(磷酸化时)。bub1-bub3复合体与mad1l1相互作用。与SV40大T抗原相互作用;这种相互作用诱导DNA损伤反应的激活,并促进p53/tp53的稳定和磷酸化(可能)。
亚细胞位置:
原子核。染色体,着丝粒,动粒。
组织特异性:
在胸腺和脾脏中高度表达。在有丝分裂指数高的组织中优先表达。
翻译后修改:
磷酸化的DNA损伤,可能由ATM或ATR。纺锤体装配检查点激活后,它被过度磷酸化,并且它对CDC20的激酶活性被刺激。与plk1的相互作用需要在thr-609处进行磷酸化,该位点的磷酸化可能为plk1的polo-box结构域创建一个结合位点,从而增强plk1-bub1的相互作用。
APC/C-CDH1在有丝分裂退出时泛素化并降解。
相似性:
属于蛋白激酶超家族。ser/thr蛋白激酶家族。BUB1子家族。
包含1个bub1 n终端域。
包含1个蛋白激酶域。
重要提示:
本产品仅用于研究用途,不用于人类、治疗或诊断应用
纺锤体检查点(spindle checkpoint)是细胞周期中的一个重要检查点,由Mad2、Bub1等染色体动粒(kinetochore)蛋白构成,像“传感器”一样能感知微管与动粒结合情况和张力。纺锤体检查点阻滞细胞进入分裂后期直到所有染色体着丝点正确与微管联接,确保染色体均等分配,维持基因组稳定性。
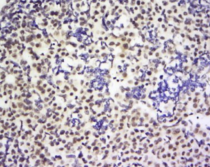
多聚甲醛固定,石蜡包埋(小鼠睾丸);用柠檬酸钠缓冲液(pH6.0)煮沸15min后获得抗原;用3%过氧化氢阻断内源过氧化物酶20分钟;阻断缓冲液(正常山羊血清)37℃30min;用BUB1多克隆抗体进行抗体孵育在4°C下1:200整晚未结合的全身,然后根据SP试剂盒(兔子)说明和DAB染色进行操作。
公司优势:
1)质量:我司提供的的试剂为世界。
2)价格:价格实惠,量大从优。
4)服务:提供完整的售前、售后和售中服务。售后到底。
如需订购纺锤体检查点蛋白抗体(Bub1),请联系我们。
| Anti-NPPC (pro-natriuretic peptide) 促尿钠排泄肽前体C抗体 |
| Anti-NPY Neuropeptide Y) 神经肽 Y抗体 |
| Anti-NPY1R (neuropeptide Y1 receptor) 神经肽Y1受体抗体 |
| Anti-NR1/NMDAR1(N-Methyl-d-Asprtate receptor 1) 谷氨酸受体1抗体 |
| Anti-NR2A/NMDAR2A(Glutamate receptor2A) 谷氨酸受体2A抗体(N端) |