您的位置: 网站首页 >> 产品中心 >> >> 抗体 > 磷酸化Bcl-2抗体
产品名称:

磷酸化Bcl-2抗体

产品型号: 产品时间: 2023-03-08
bcl2是一种完整的线粒体膜外蛋白,磷酸化Bcl-2抗体可阻止某些细胞(如淋巴细胞)的凋亡死亡。bcl2的组成性表达,如在bcl2易位到ig重链位点的情况下,被认为是导致滤泡性淋巴瘤的原因。由交替剪接产生的两个转录变体(α和β)在其C末端不同。bcl2抑制多种细胞系统的凋亡,包括因子依赖性淋巴造血细胞和神经细胞。通过控制线粒体膜通透性调节细胞死亡。它似乎在caspase的反馈循环系统中起作用。

产品概述

英文名称:Anti-Phospho-Bcl-2 (Thr129)​

中文名称:磷酸化Bcl-2抗体

抗体来源:兔子

克隆类型:多克隆

交叉反应:人、小鼠、大鼠、狗、猪、牛、马、羊​​

产品应用:WB=1:500-2000 ELISA=1:500-1000 IHC-P=1:100-500 IHC-F=1:100-500 Flow-Cyt=1μg/Test IF=1:100-500(石蜡切片需做抗原修复)

分  子 量:26kDa

​细胞定位:细胞核 细胞浆 细胞膜 线粒体

状态:冻干或液体

浓度:1mg/ml

来源于:KLH conjugated Synthesised phosphopeptide derived from human Bcl-2 around the phosphorylation site of Thr129:FA(p-T)VV

亚型:IgG

纯化方法:affinity purified by Protein A

储存液:0.01M TBS(pH7.4) with 1% BSA, 0.03% Proclin300 and 50% Glycerol.

别    名:Bcl-2 (phospho T129); Bcl-2 (phospho Thr129); p-Bcl-2 (Thr129); Apoptosis regulator Bcl 2; Apoptosis regulator Bcl2; AW986256; B cell CLL/lymphoma 2; B cell leukemia/lymphoma 2; B cell lymphoma 2; Bcl 2; Bcl-2; Bcl2; BCL2 protein; C430015F12Rik; D630044D05Rik; D830018M01Rik; Leukemia/lymphoma, B-cell, 2; Oncogene B-cell leukemia 2; BCL2_HUMAN.

保存条件:在-20°C下保存一年。避免反复冻融。冻干抗体在室温下至少稳定一个月,并在-20°C下保持一年以上。当在无菌pH7.4 0.01M PBS或抗体稀释剂中重组时,抗体在2-4°C下至少稳定两周。

 

​产品介绍:

bcl2是一种完整的线粒体膜外蛋白,可阻止某些细胞(如淋巴细胞)的凋亡死亡。bcl2的组成性表达,如在bcl2易位到ig重链位点的情况下,被认为是导致滤泡性淋巴瘤的原因。由交替剪接产生的两个转录变体(α和β)在其C末端不同。bcl2抑制多种细胞系统的凋亡,包括因子依赖性淋巴造血细胞和神经细胞。通过控制线粒体膜通透性调节细胞死亡。它似乎在caspase的反馈循环系统中起作用。bcl2通过阻止细胞色素c从线粒体释放和/或结合凋亡激活因子(apaf1)抑制caspase活性。它能与bax、bad、bak和bclx(L)形成同二聚体和异二聚体。与bax的异二聚化需要完整的bh1和bh2结构域,这对于抗凋亡活性是必要的。

 

功能:

抑制包括因子依赖性淋巴造血细胞和神经细胞在内的多种细胞系统的凋亡。通过控制线粒体膜通透性调节细胞死亡。似乎在caspase的反馈循环系统中起作用。通过阻止细胞色素C从线粒体释放和/或结合凋亡激活因子(APAF-1)抑制caspase活性。

 

子单元:

与bax、bad、bak和bcl-x(l)形成同二聚体和异二聚体。与bax的异二聚化需要完整的bh1和bh2基序,并且对于抗凋亡活性是必要的。与EI24相互作用(通过相似性)。还与APAF1、BBC3、BCL2L1、BNIPL、MRPL41和TP53BP2相互作用。与FKBP8的结合似乎以bcl2为靶点,并可能干扰bcl2与其靶点的结合。以一种依赖于ATP的方式与BAG1相互作用。与raf1(ser-338和ser-339磷酸化形式)相互作用。(通过bh4结构域)与egln3相互作用;这种相互作用阻止了bax-bcl2复合物的形成,并抑制了bcl2的抗凋亡活性。与g0s2相互作用;这种相互作用也阻止了抗凋亡bax-bcl2复合物的形成。

 

亚细胞位置:

线粒体外膜;单通道膜蛋白。核膜;单通道膜蛋白。内质网膜;单通道膜蛋白。

 

组织特异性:

在各种组织中表达。

 

翻译后修改:

Ser-70上的磷酸化/去磷酸化调节抗凋亡活性。生长因子刺激的pkc对ser-70磷酸化是抗凋亡活性所必需的,并且发生在细胞周期的g2/m阶段。在没有生长因子的情况下,bcl2似乎被其他蛋白激酶如erks和应激激活激酶磷酸化。在THR-69、SER-70和SER-87被MAPK8/JNK1磷酸化,WICH刺激饥饿诱导的自噬。蛋白磷酸酶2a(pp2a)脱磷。

细胞凋亡过程中被半胱天冬酶蛋白分解。分裂蛋白缺乏bh4基序,具有促凋亡活性,使细胞色素c释放到胞质溶胶中,进一步促进半胱天冬酶活性。

park2单泛素化,增加稳定性。

 

疾病:

注=慢性淋巴白血病中发现了涉及bcl2的染色体畸变。T(14;18)(q32;q21)与免疫球蛋白基因区易位。在携带染色体易位的非霍奇金淋巴瘤中发现的bcl2突变可归因于导致核苷酸转换的免疫球蛋白体细胞过度突变机制。

 

相似性:

属于BCL-2家族。

 

重要提示:

本产品仅用于研究用途,不用于人类、治疗或诊断应用

​​​​​

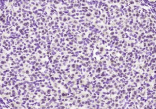
多聚甲醛固定,石蜡包埋(小鼠卵巢);经柠檬酸钠缓冲液(pH6.0)煮沸15min后恢复抗原;用3%过氧化氢阻断内源过氧化物酶20分钟;阻断缓冲液(正常山羊血清)37℃30min;用磷酸化Bcl-2(THR1)孵育抗体29))多克隆抗体,未结合,1:200,4°C下过夜,然后根据SP试剂盒(兔子)说明和DAB染色进行操作。

公司优势:
1)质量:我司提供的的试剂为世界。
2)价格:价格实惠,量大从优。
4)服务:提供完整的售前、售后和售中服务。售后到底。

如需订购磷酸化Bcl-2抗体​​​​​​​​​,请联系我们。

Anti-CD44  CD44抗体
Anti-CD45(LCA)  CD45(白细胞共同抗原)抗体
Anti-CD49/VLA(very late antigens)  CD49(非常晚期抗原)抗体
Anti-CD5  CD5抗体
Anti-CD54/ICAM-1(InteYTellular dhesion molecule 1/CD54 antigen;)  细胞间粘附分子-1抗体
Anti-ICAM-2/CD102(inteYTellular adhesion molecules-2)  细胞间粘附分子-2抗体
Anti-CD56/NCAM1(Neural Cell Adhesion Molecule 1)  神经细胞粘附分子1抗体(Elisa IP IHC 用)

留言框

  • 产品:

  • 您的单位:

  • 您的姓名:

  • 联系电话:

  • 常用邮箱:

  • 省份:

  • 详细地址:

  • 补充说明:

  • 验证码:

    请输入计算结果(填写阿拉伯数字),如:三加四=7
分享到:
版权所有©2019 上海晅科生物科技有限公司 备案号:京ICP证000000号
  • 扫一扫,关注我们