英文名称:Bax
中文名称:单克隆抗体
抗体来源:小鼠
克隆类型:单克隆
交叉反应:人、小鼠、大鼠、猴子、昆虫、酵母
产品应用:WB=1:1000-1500 ELISA=1:5000-10000 IHC-P=1:100-500 IHC-F=1:100-500 ICC=1:100-500 IF=1:200-500(石蜡切片需做抗原修复)
分 子 量:21kDa
细胞定位:细胞浆 细胞膜
状态:冻干或液体
浓度:1mg/ml
来源于:KLH conjugated synthetic peptide derived from human Bax:
亚型:IgG
纯化方法:affinity purified by Protein A
储存液:0.01M TBS(pH7.4) with 1% BSA, 0.03% Proclin300 and 50% Glycerol.
别 名:
保存条件:在-20°C下保存一年。避免反复冻融。冻干抗体在室温下至少稳定一个月,并在-20°C下保持一年以上。当在无菌pH7.4 0.01M PBS或抗体稀释剂中重组时,抗体在2-4°C下至少稳定两周。
产品介绍:
该基因编码的蛋白属于bcl2蛋白家族。bcl2家族成员形成异二聚体或同二聚体,并充当参与多种细胞活动的抗或促凋亡调节器。该蛋白与bcl2形成异二聚体,并作为凋亡激活剂发挥作用。据报道,这种蛋白与线粒体电压依赖性阴离子通道(vdac)相互作用并增加其开放性,从而导致膜电位的损失和细胞色素c的释放。这种基因的表达受肿瘤抑制因子p53的调节,并已被证实与线粒体电压依赖性阴离子通道(vdac)的开放性有关。参与p53介导的凋亡。已经报道了该基因的多种选择性剪接转录变体,编码不同的亚型。[由RefSeq提供,2008年7月]。
功能:
通过结合凋亡抑制因子BCL2或其腺病毒同系物E1B 19K蛋白,加速程序性细胞死亡。在应激条件下,发生构象变化,导致线粒体膜易位,导致细胞色素c释放,进而引发细胞凋亡。促进casp3的活化,从而促进细胞凋亡。
子单元:
同二聚体。在压力条件下形成更高的低聚物。与BCL2L11相互作用。与bcl2l11的相互作用促进bax寡聚,并与线粒体膜结合,随后释放细胞色素c。与bcl2、e1b 19k蛋白、bcl2l1亚型bcl-x(l)、bcl2l2、mcl1和a1形成异二聚体。与SH3GLB1和HN交互。与SFN和YWHAZ相互作用;这种相互作用发生在细胞质中。在应激条件下,JNK介导的SFN和YWHAZ磷酸化,释放BAX到线粒体。亚型sigma与bcl2a1和bcl2l1亚型bcl-x(L)相互作用。与调节Bax泛素依赖稳定性的RNF144B相互作用。在压力条件下与clu相互作用,引起构象变化,导致bax寡聚并与线粒体结合。不与非应力单元中的clu相互作用。与FAIM2/LFG2交互。
亚细胞位置:
亚型α:线粒体膜;单通道膜蛋白。细胞质。注=与细胞质中的14-3-3蛋白质共存。在应激条件下,发生构象变化,引起JNK磷酸化14-3-3蛋白的释放和线粒体膜的易位。
β亚型:细胞质。
异型γ:细胞质。
亚型δ:细胞质(潜能)。
组织特异性:
在多种组织中表达。在胶质瘤中发现了psi亚型。α亚型在脾脏、乳腺、卵巢、睾丸、结肠和大脑中表达,在皮肤和肺中低水平表达。亚型sigma在脾脏、乳腺、卵巢、睾丸、肺、结肠、大脑和皮肤的低水平表达。亚型α和亚型sigma在原髓细胞性白血病、组织细胞性淋巴瘤、伯基特淋巴瘤、T细胞淋巴瘤、淋巴母细胞性白血病、乳腺腺癌、卵巢腺癌、前列腺癌、前列腺腺癌、肺癌、表皮样癌、小细胞肺癌、乳腺癌中表达。G癌和结肠癌细胞系。
相似性:
属于BCL-2家族。
重要提示:
本产品仅用于研究用途,不用于人类、治疗或诊断应用

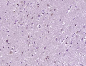
多聚甲醛固定,石蜡包埋(人脑胶质瘤);用柠檬酸钠缓冲液(pH6.0)煮沸15min后获得抗原;用3%过氧化氢阻断内源性过氧化物酶20分钟;阻断缓冲液(正常山羊血清)在37℃下30min;用Bax单克隆抗体进行抗体孵育。未结合的NAL抗体在4°C的1:400下过夜,然后根据SP试剂盒(小鼠)说明和DAB染色进行操作。
公司优势:
1)质量:我司提供的的试剂为世界。
2)价格:价格实惠,量大从优。
4)服务:提供完整的售前、售后和售中服务。售后到底。
如需订购Bax,请联系我们。
| Anti-Leptin receptor 瘦素受体抗体 |
| Anti-Leptin receptor(long) 瘦素受体抗体(长) |
| Anti-Leptin receptor(long) 瘦素受体抗体(长) |
| Anti-Lgr5/GPR49 肠上皮干细胞蛋白抗体 |
| Anti-LH (Mouse Anti-Human Luteinizing Hormone Monoclonal Antibody) 鼠抗人促黄体生成素抗体 |
| Anti-L-HDC (L-Histidine decarboxylase) L-组氨酸脱羧酶抗体 hu, mo, rat, bov, dog, pig, chi |