您的位置: 网站首页 >> 产品中心 >> >> 抗体 > 磷酸化乳腺癌易感基因1抗体
产品名称:

磷酸化乳腺癌易感基因1抗体

产品型号: 产品时间: 2023-03-08
磷酸化乳腺癌易感基因1抗体该基因编码一种在维持基因组稳定性中起作用的核磷蛋白,并作为肿瘤抑制因子发挥作用。编码蛋白与其他肿瘤抑制因子、DNA损伤传感器和信号转导子结合形成一个大的多亚单位蛋白复合物,称为BRCA1相关基因组监测复合物(BASC)。该基因产物与RNA聚合酶Ⅱ结合,并通过C端域与组蛋白脱乙酰基酶复合物相互作用。因此,这种蛋白在转录、双链断裂的DNA修复和重组中起到作用。

产品概述

英文名称:Anti-Phospho-BRCA1 (Ser1466)​

中文名称:磷酸化乳腺癌易感基因1抗体

抗体来源:兔子

克隆类型:多克隆

交叉反应:人,马​

产品应用:ELISA=1:500-1000 IHC-P=1:100-500 IHC-F=1:100-500 Flow-Cyt=1μg/Test ICC=1:100-500 IF=1:100-500(石蜡切片需做抗原修复)

分  子 量:208kDa

​细胞定位:细胞核 细胞浆

状态:冻干或液体

浓度:1mg/ml

来源于:KLH conjugated synthesised phosphopeptide derived from human BRCA1 around the phosphorylation site of Ser1466:PI(p-S)QN

亚型:IgG

纯化方法:affinity purified by Protein A

储存液:0.01M TBS(pH7.4) with 1% BSA, 0.03% Proclin300 and 50% Glycerol.

别    名:BRCA1 (phospho S1466); BRCA1 (phospho Ser1466); p-BRCA1 (S1466); p-BRCA1 (Ser1466); p-BRCA1 (phospho S1466); BRCA1(Phospho-Ser1423); BRCA 1; BRCA1; BRCA1/BRCA2 containing complex subunit 1; BRCA1/BRCA2-containing complex, subunit 1; BRCA1_HUMAN; BRCAI; BRAC 1; BRCA 1; BRCC 1; BRCC1; Breast Cancer 1; Breast Cancer 1 Early Onset; Breast cancer type 1 susceptibility protein; Breast and ovarian cancer susceptibility protein 1; Breast Ovarian Cancer Susceptibility; IRIS; Papillary Serous Carcinoma Of The Peritoneum; PSCP; RING finger protein 53; BROVCA1; IRIS; PNCA4; PPP1R53; Protein phosphatase 1 regulatory subunit 53; RNF53; BAP1.

保存条件:在-20°C下保存一年。避免反复冻融。冻干抗体在室温下至少稳定一个月,并在-20°C下保持一年以上。当在无菌pH7.4 0.01M PBS或抗体稀释剂中重组时,抗体在2-4°C下至少稳定两周。

 

​产品介绍:

该基因编码一种在维持基因组稳定性中起作用的核磷蛋白,并作为肿瘤抑制因子发挥作用。编码蛋白与其他肿瘤抑制因子、DNA损伤传感器和信号转导子结合形成一个大的多亚单位蛋白复合物,称为BRCA1相关基因组监测复合物(BASC)。该基因产物与RNA聚合酶Ⅱ结合,并通过C端域与组蛋白脱乙酰基酶复合物相互作用。因此,这种蛋白在转录、双链断裂的DNA修复和重组中起到作用。该基因突变导致约40%的遗传性乳腺癌和80%以上的遗传性乳腺癌和卵巢癌。选择性剪接对该基因的亚细胞定位和生理功能起着调节作用。许多选择性剪接的转录变体,其中一些是疾病相关的突变,已经被描述为这个基因,但只有一些变体的全长性质已经被描述。已经鉴定出一个相关的假基因,也位于17号染色体上。[由RefSeq提供,2009年5月]。

 

功能:

E3泛素蛋白连接酶,特异性地介导“Lys-6”连接的多泛素链的形成,并通过促进细胞对DNA损伤的反应在DNA修复中起到中心作用。目前尚不清楚它是否也能介导其他类型的多泛素链的形成。E3泛素蛋白连接酶的活性是肿瘤抑制功能所必需的。bard1-bard1异二聚体协调多种细胞路径,如DNA损伤修复、泛素化和转录调节,以维持基因组的稳定性。调控微管成核。正常细胞周期从G2到有丝分裂所需。在细胞周期的s相和g2相电离辐射后,需要适当的细胞周期休息。参与p21对DNA损伤的转录调控。对靶向DNA损伤部位的fancd2是必需的。可能作为转录调节因子发挥作用。通过结合到非活性磷酸酯类并阻止其去磷酸化来抑制脂质合成。通过与PALB2的直接相互作用,促进同源重组修复(HRR),部分通过其在BRCA2-RAD51修复机制在DNA断裂处的PALB2依赖性负载中的调节作用,微调重组修复。BRCA1-RBBP8复合物的组成部分,通过BRCA1介导的RBBP8泛素化调节CHEK1活化并控制细胞周期2/M检查点对DNA损伤。

 

重要提示:

本产品仅用于研究用途,不用于人类、治疗或诊断应用

​​​​​

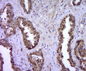
多聚甲醛固定,石蜡包埋(人前列腺组织);用柠檬酸钠缓冲液(pH6.0)煮沸15min后获得抗原;用3%过氧化氢阻断内源过氧化物酶20分钟;阻断缓冲液(正常山羊血清)37℃30min;用(BRCA1)抗体孵育。Ser1466))多克隆抗体,未结合于1:400于4℃下过夜,随后经共轭二级20分钟和DAB染色。

公司优势:
1)质量:我司提供的的试剂为世界。
2)价格:价格实惠,量大从优。
4)服务:提供完整的售前、售后和售中服务。售后到底。

如需订购磷酸化乳腺癌易感基因1抗体,请联系我们。

Anti-FGF-8/HBGF-8 (Fibroblast growth factor 8)  成纤维细胞生长因子-8/纤维母细胞生长因子-8抗体
anti-FGF-10(Fibroblast Growth Factor-10)  成纤维细胞生长因子-10/纤维母细胞生长因子-10抗体
Anti-KGFR(kilodalton growth factor receptors)  角质形成细胞生长因子受体抗体
Anti-FGFR1(Fibroblast Growth Factor Receptor 1)  纤维母细胞生长因子受体1抗体
Anti-FGFR2(Fibroblast Growth Factor Receptor 2)  成纤维细胞生长因子受体2抗体

留言框

  • 产品:

  • 您的单位:

  • 您的姓名:

  • 联系电话:

  • 常用邮箱:

  • 省份:

  • 详细地址:

  • 补充说明:

  • 验证码:

    请输入计算结果(填写阿拉伯数字),如:三加四=7
分享到:
版权所有©2019 上海晅科生物科技有限公司 备案号:京ICP证000000号
  • 扫一扫,关注我们