英文名称:Anti-Beclin 1
中文名称:Bcl-2同源结构域蛋白抗体(Beclin 1)
抗体来源:小鼠
克隆类型:单克隆
交叉反应:人、小鼠、大鼠、狗、猪、牛、马、兔子
产品应用:WB=1:500-2000 ELISA=1:500-1000 IHC-P=1:100-500 IHC-F=1:100-500 ICC=1:100-500 IF=1:100-500(石蜡切片需做抗原修复)
分 子 量:50kDa
细胞定位:细胞浆 细胞膜
状态:冻干或液体
浓度:1mg/ml
来源于:KLH conjugated synthetic peptide derived from human BECN1:201-330/450
亚型:IgG
纯化方法:affinity purified by Protein A
储存液:0.01M TBS(pH7.4) with 1% BSA, 0.03% Proclin300 and 50% Glycerol.
别 名:Beclin-1; ATG6; beclin1; VPS30; Beclin 1 like protein 1; 4921513J16Rik; 5430417M23Rik; ATG6; BECLIN 1; BECN1; MGC6843; BECN1_HUMAN.
保存条件:在-20°C下保存一年。避免反复冻融。冻干抗体在室温下至少稳定一个月,并在-20°C下保持一年以上。当在无菌pH7.4 0.01M PBS或抗体稀释剂中重组时,抗体在2-4°C下至少稳定两周。
产品介绍:
Beclin1是*个被鉴定的能介导自噬的哺乳动物基因,也具有肿瘤抑制和抗病毒功能。自噬是一种通过自噬体溶酶体途径降解大量蛋白质的过程,对分化、营养缺乏时的存活和正常的生长控制都很重要,而且常常在肿瘤细胞中有缺陷。beclin 1初是在酵母双杂交筛选中分离出来的,用于识别bcl 2结合伙伴,并映射到人类染色体17q21上的肿瘤易感性位点,该位点在人类乳腺癌、卵巢癌和前列腺癌中经常被单等位删除。Beclin 1编码一种进化保守的52kDa螺旋蛋白,在人类肌肉、上皮细胞和神经元中表达。
功能:
在自噬中起着中心作用。细胞因子分裂中的不连续步骤所需的。可能在抗病毒宿主防御中起作用。保护免受Sindbis病毒神经毒株的感染。
子单元:
与gopc和grid2交互。与AMBRA1交互。与pik3c3和pik3r4以及uvrag和kiaa0226/rubicon或atg14形成复合体。uvrag和atg14通过直接竞争BECN1结合形成相互排斥的复合物。含有atg14的复合物上调自噬,而含有rubicon的复合物下调自噬。与bcl2和bcl2l1相互作用。与vmp1交互。与PIK3CB交互。与DAPK1交互。与人巨细胞病毒/hhv-5蛋白trs1相互作用。
亚细胞位置:
高尔基体,跨高尔基网膜;外周膜蛋白。注=与ATG14的相互作用促进易位到自噬体。在小脑浦肯野细胞的树突和细胞体中表达。
组织特异性:
无处不在的。
翻译后修改:
DAPK1磷酸化THR-119可减少其与bcl2和bcl2l1的相互作用,促进自噬的诱导。
泛素化。由USP10和USP13去泛素,从而稳定含有PIK3C3/VPS34的复合物。
相似性:
属于贝格林家族。
重要提示:
本产品仅用于研究用途,不用于人类、治疗或诊断应用
BECN1是一种分子质量为60KDa的蛋白质, 它能与细胞凋亡抑制剂Bcl-2相互作用, 减少中枢神经系统的凋亡,参与PI3K复合物的组成和自噬体的形成。主要表达在胞质。抑癌基因beclin 1通过自噬作用来调节细胞生长。
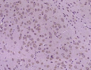
多聚甲醛固定,石蜡包埋(大鼠脑);用柠檬酸钠缓冲液(pH6.0)煮沸15min后获得抗原;用3%过氧化氢阻断内源过氧化物酶20分钟;阻断缓冲液(正常山羊血清)37℃30min;用BeC林1多克隆抗体孵育未结合抗体在1:400下在4°C下过夜,然后根据SP试剂盒(兔子)说明和DAB染色进行操作。
公司优势:
1)质量:我司提供的的试剂为世界。
2)价格:价格实惠,量大从优。
4)服务:提供完整的售前、售后和售中服务。售后到底。
如需订购Bcl-2同源结构域蛋白抗体(Beclin 1),请联系我们。
| Anti-CR (Calretinin) 钙结合蛋白抗体 |
| Anti-C-reactive protin CRP C-反应蛋白抗体 |
| Anti-C-CRP(Mouse Anti-Human reactive protin CRP Antibody) 鼠抗人C-反应蛋白单克隆抗体 |
| Anti-CREB-1(cAMP responsive element binding protein-1) 环腺苷酸应答元件结合蛋白抗体 |
| Anti-CREB-1(cAMP responsive element binding protein-1) 环腺苷酸应答元件结合蛋白抗体 |