您的位置: 网站首页 >> 产品中心 >> >> 抗体 > 相关死亡促进因子Bad抗体
产品名称:

相关死亡促进因子Bad抗体

产品型号: 产品时间: 2023-03-08
BAD是BCL2/BAX、BCL-XL/BAX异二聚体的负调节基因。BAD是BCL2/BCL-XL相关死亡促进因子,作为BCL2、 bCL-XL异二聚体伴分子而促进细胞凋亡。相关死亡促进因子Bad抗体BAD缺乏典型的羧基端跨膜结构,提示其并非一完整膜蛋白。与同BCL2作用相比,BAD与BCL-XL的结合更强,BAD以浓度依赖性方式替换BCL-XL/BAX、BCL2/BAX异二聚体中的BAX。

产品概述

英文名称:Anti-Bad​

中文名称:相关死亡促进因子Bad抗体

抗体来源:兔子

克隆类型:多克隆

交叉反应:人、小鼠、大鼠​​

产品应用:WB=1:500-2000 ELISA=1:500-1000 IHC-P=1:100-500 IHC-F=1:100-500 Flow-Cyt=3ug/Test ICC=1:100-500 IF=1:100-500(石蜡切片需做抗原修复)

分  子 量:18kDa

​细胞定位:细胞浆 细胞膜

状态:冻干或液体

浓度:1mg/ml

来源于:KLH conjugated synthetic peptide derived from human Bad:120-204/204

亚型:IgG

纯化方法:affinity purified by Protein A

储存液:0.01M TBS(pH7.4) with 1% BSA, 0.03% Proclin300 and 50% Glycerol.

别    名:BBC 2; BBC2; BBC6; Bcl 2 Antagonist of Cell Death; Bcl 2 Binding Component 6; BCL X / BCL 2 Binding Protein; BCL X Binding Protein; Bcl XL/Bcl 2 Associated Death Promoter; Bcl-2-like protein 8; Bcl2 antagonist of cell death; BCL2 antagonist of cell death protein; BCL2 associated agonist of cell death; Bcl2 Associated Death Promoter; BCL2 binding component 6; BCL2 binding protein; Bcl2 Like 8 Protein; Bcl2-L-8; BCL2L8; BclXL; Proapoptotic BH3 Only Protein; BAD_HUMAN; Bcl-2-binding component 6.

保存条件:在-20°C下保存一年。避免反复冻融。冻干抗体在室温下至少稳定一个月,并在-20°C下保持一年以上。当在无菌pH7.4 0.01M PBS或抗体稀释剂中重组时,抗体在2-4°C下至少稳定两周。

 

​产品介绍:

BAD是bcl2家族的成员,通过与生存蛋白bcl2和bclxl形成异二聚体来促进凋亡,从而阻止它们与bax结合。BAD存在于线粒体外膜,一旦对刺激作出磷酸化反应,就会转移到细胞质。BAD的磷酸化状态是死亡或细胞存活的关键检查点。JNK诱导的bad丝氨酸128磷酸化通过抑制生长因子对bad介导的凋亡的抑制作用来促进bad的凋亡作用。CDC2诱导的坏丝氨酸128磷酸化对其与14-3-3蛋白的相互作用有抑制作用。后一种相互作用对丝氨酸155的磷酸化作用至关重要,丝氨酸155是bh3结构域内一个导致bclxl释放和促进细胞存活的位点。该基因的选择性剪接导致两个转录变体编码相同的亚型。

 

功能:

促进细胞死亡。成功竞争与bcl-x(l)、bcl-2和bcl-w的结合,从而影响这些蛋白与bax的异二聚化水平。能逆转bcl-x(L)的死亡抑制因子活性,但不能逆转bcl-2的死亡抑制因子活性。似乎在生长因子受体信号和凋亡途径之间起着联系。

 

子单元:

与抗凋亡蛋白Bcl-X(L)、Bcl-2和Bcl-W形成异二聚体,并结合蛋白S100A10。ser-75/ser-99磷酸化形式结合14-3-3蛋白质。与AKT1和PIM3相互作用。

 

亚细胞位置:

线粒体外膜。细胞质。注=磷酸化后,定位于细胞质。

 

组织特异性:

在多种组织中表达。

 

翻译后修改:

在一个或多个ser-75、ser-99、ser-118和ser-134上磷酸化,以响应生存刺激,阻止其促凋亡活性。ser-99或ser-75上的磷酸化促进14-3-3蛋白质的异二聚化。这种相互作用促进了SER-118的磷酸化,SER-118是THBH3基序中的一个位点,从而导致BCL-X(L)的释放和细胞存活的促进。SER-99是AKT/PKB磷酸化的主要位点,SER-118是蛋白激酶A(capk)磷酸化的主要位点。pkb/akt1在ser-99处的磷酸化几乎*被caspases-3在凋亡过程中产生的pkn2的凋亡c端裂解产物所阻断。

prmt1在arg-94和arg-96处的甲基化抑制了在ser-99处Akt介导的磷酸化。

 

相似性:

属于BCL-2家族。

 

重要提示:

本产品仅用于研究用途,不用于人类、治疗或诊断应用

​BAD是BCL2/BAX、BCL-XL/BAX异二聚体的负调节基因。BAD是BCL2/BCL-XL相关死亡促进因子,作为BCL2、 bCL-XL异二聚体伴分子而促进细胞凋亡。
有学者认为:BAD缺乏典型的羧基端跨膜结构,提示其并非一完整膜蛋白。与同BCL2作用相比,BAD与BCL-XL的结合更强,BAD以浓度依赖性方式替换BCL-XL/BAX、BCL2/BAX异二聚体中的BAX,使BAX游离而促进细胞凋亡。当一细胞系的所有细胞内异二聚体(BCL-XL/BAX和BCL2/BAX)的含量≥50%时,则细胞耐受凋亡;而当细胞内BAX同二聚体>80%时且在适当信号诱导下则细胞出现凋亡。这表明BAD通过调节BAX同二聚体与异二聚体量的比值而介导凋亡。

​​​​​​

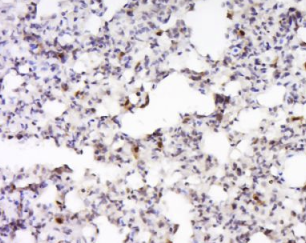
组织/细胞:大鼠肺组织;4%多聚甲醛固定石蜡包埋;

抗原提取:柠檬酸缓冲液(0.01M,pH 6),15min煮沸,用3%过氧化氢阻断内源性过氧化物酶30min;37℃下阻断缓冲液(正常山羊血清)20 min;

孵育:抗坏血性多克隆抗体,未结合1:500,在4℃下过夜,然后接合二级抗体和DAB染色。

公司优势:
1)质量:我司提供的的试剂为世界。
2)价格:价格实惠,量大从优。
4)服务:提供完整的售前、售后和售中服务。售后到底。

如需订购相关死亡促进因子Bad抗体​​​​​​​​​​,请联系我们。

Anti-CD56/NCAM1(Neural Cell Adhesion Molecule 1)  神经细胞粘附分子1抗体
Anti-CD62L (ELAM-1/L-Selectin )  L选择素抗体
anti-E-Selectin   E选择素抗体
Anti-CD68(Rabbit Anti-Mouse rat CD68 Palyclonal Antibody)  CD68抗体(用于大鼠、小鼠)
Anti-CD73(5´-nucleotidase cytosolicⅡ)  胞浆-5´-核苷酸酶-Ⅱ抗体
Anti-CD79A/IGBP-1(Immunoglobuin binding protein-1)  免疫球蛋白结合蛋白-1抗体
Anti-CD8(Mouse Anti-Human CD8 Monoclonal Antibody)  鼠抗人CD8单克隆抗体

留言框

  • 产品:

  • 您的单位:

  • 您的姓名:

  • 联系电话:

  • 常用邮箱:

  • 省份:

  • 详细地址:

  • 补充说明:

  • 验证码:

    请输入计算结果(填写阿拉伯数字),如:三加四=7
分享到:
版权所有©2019 上海晅科生物科技有限公司 备案号:京ICP证000000号
  • 扫一扫,关注我们