英文名称:Anti-Acrosin
中文名称:精子顶体前体蛋白抗体(Acrosin)
抗体来源:兔
克隆类型:多克隆
交叉反应:人、大鼠、小鼠、狗、猪、牛、马、兔、羊
产品应用:WB=1:500-2000 ELISA=1:500-1000 IHC-P=1:400-800 IHC-F=1:400-800 Flow-Cyt=1ug/Test IF=1:50-200(石蜡切片需做抗原修复)
尚未在其他应用程序中测试。
用户终应确定合适稀释浓度。
分子量:33/44kDa
细胞定位:细胞核 细胞浆
状态:冻干或液体
浓度:1mg/ml
来源于:KLH conjugated synthetic peptide derived from human Acrosin heavy chain:201-300/421
亚型:IgG
纯化方法:affinity purified by Protein A
储存液:0.01M TBS(pH7.4) with 1% BSA, 0.03% Proclin300 and 50% Glycerol.
别 名:ACR; Acrosin precursor; ACRS;Preproacrosin; Proacrosin; ACRO_HUMAN.
保存条件:在-20°C下保存一年。避免重复冻融循环。冻干抗体在室温下至少稳定一个月,并在-20°C下保持一年以上。当在无菌pH7.4 0.01M PBS或抗体稀释剂中重组时,抗体在2-4°C下至少稳定两周。
产品介绍
顶体蛋白是成熟精子顶体的主要蛋白酶。是一种典型的具有胰蛋白酶样特异性的丝氨酸蛋白酶。它以前体形式储存在顶体中。活性酶在透明带的溶解中起作用,从而促进精子通过卵细胞内层的糖蛋白层渗透。前体素的mRNA仅在精子发生后的阶段合成。在人类中,前体蛋白首先出现在单倍体精子细胞中。
功能:
顶体蛋白是哺乳动物精子的主要蛋白酶。是一种具有胰蛋白酶样分裂特异性的丝氨酸蛋白酶,以酶原形式合成,前体蛋白并储存在顶体中。
Subunit:
重链(催化)和轻链由两个二硫键连接。与serpina5形成异二聚体。
相似性:
属于肽酶S1家族。
包含1个肽酶S1域。
重要注意事项:
本产品仅用于研究用途,不用于人类、治疗或诊断应用。
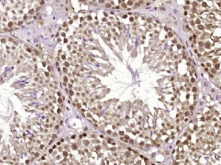
多聚甲醛固定,石蜡包埋(小鼠睾丸组织);用柠檬酸钠缓冲液(pH6.0)煮沸15min后获得抗原;用3%过氧化氢阻断内源性过氧化物酶20分钟;阻断缓冲液(正常山羊血清)37℃30min;抗体(ACS)多克隆抗体1:40孵育。0在4°C下过夜,然后根据SP试剂盒(兔子)说明和DAB染色进行操作。
公司优势:
1)质量:我司提供的的试剂为世界。
2)价格:价格实惠,量大从优。
4)服务:提供完整的售前、售后和售中服务。售后到底。
如需订购精子顶体前体蛋白抗体(Acrosin),请联系我们。
| Anti-MMP-1(matrix metalloproteinases-1)anti-Mouse 基质金属蛋白酶-1抗体(小鼠) |
| Anti-MMP-13 (Matrix metalloproteinase 13) 基质金属蛋白酶13抗体 |
| Anti-MMP-14(Matrix metalloproteinase-14) 基质金属蛋白酶-14抗体 |
| Anti-MMP-2(Collagenase IV /Gelatinase A/Metallo proteinase-2) 基质金属蛋白酶-2抗体 |
| Anti-MMP-3(matrix metalloproteinase-3/Transin-1/SL-1/Stromelysin-1 precursor) 基质金属蛋白酶-3抗体 |
| Anti-MMP-7(Matrilysin/matrix metalloproteinases-7) 基质金属蛋白酶-7抗体 |
| Anti-MMP-9(matrix metalloproteinase 9) 基质金属蛋白酶-9抗体 |