英文名称:ADAMTS7(NT)抗体
中文名称:整合素样金属蛋白酶与凝血酶1型-7抗体 (N端抗体)
抗体来源:兔
克隆类型:多克隆
交叉反应:人、大鼠、小鼠、
产品应用:WB=1:500-2000 ELISA=1:500-1000 IHC-P=1:400-800 IHC-F=1:400-800 IF=1:100-500(石蜡切片需做抗原修复)
尚未在其他应用程序中测试。
用户终应确定合适稀释浓度。
分子量:158kDa
细胞定位:细胞膜 细胞外基质 分泌型蛋白
状态:冻干或液体
浓度:1mg/ml
来源于:KLH conjugated synthetic peptide derived from rat ADAMTS7:241-340/1595
亚型:IgG
纯化方法:affinity purified by Protein A
储存液:0.01M TBS(pH7.4) with 1% BSA, 0.03% Proclin300 and 50% Glycerol.
别 名:A disintegrin and metalloproteinase with thrombospondin motifs 7; ADAM metallopeptidase with thrombospondin type 1 motif 7; A disintegrin and metalloprotease with thrombospondin motifs 7 preproprotein; A disintegrin and metalloproteinase with thrombospondin motifs 7; A disintegrin like and metalloprotease (reprolysin type) with thrombospondin type 1 motif 7; A disintegrin like and metalloprotease with thrombospondin type 1 motif 7; ADAM metallopeptidase with thrombospondin type 1 motif 7; ADAM metallopeptidase with thrombospondin type 1 motif 7 preproprotein; ADAM TS 7; ADAM TS7; ADAMTS 7; ADAMTS7; COMPase; DKFZp434H204; ATS7_MOUSE.
保存条件:在-20°C下保存一年。避免重复冻融循环。冻干抗体在室温下至少稳定一个月,并在-20°C下保持一年以上。当在无菌pH7.4 0.01M PBS或抗体稀释剂中重组时,抗体在2-4°C下至少稳定两周。
产品介绍
可能在comp降解中起作用的金属蛋白酶。每个亚单位结合1个锌离子。酸碱度:酸碱度在7.5~9.5之间。【亚细胞定位】分泌的,细胞外空间,细胞外基质(通过相似性)。注=也发现与心脏、大脑、胎盘、肺、肝脏、骨骼肌、肾脏和胰腺中表达的外部细胞表面[组织特异性]有关。在半月板、骨骼、肌腱、软骨、滑膜、脂肪和韧带中检测。关节炎患者关节软骨和滑膜表达上调。
功能:
可能在comp降解中起作用的金属蛋白酶。
Subunit:
与公司互动。
亚细胞位置:
分泌的,细胞外间隙,细胞外基质。注=也发现与外部细胞表面相关。
组织特异性:
在心脏、大脑、胎盘、肺、肝脏、骨骼肌、肾脏和胰腺中表达。在半月板、骨骼、肌腱、软骨、滑膜、脂肪和韧带中检测。
翻译后修改:
N-糖基化。
O-糖基化蛋白聚糖。含有硫酸软骨素(相似)。
可能被一个弗林内肽酶(通过相似性)分裂。前体按顺序加工。
相似性:
包含1个分解域。
包含1个肽酶M12b结构域。
包含1个plac域。
重要注意事项:
本产品仅用于研究用途,不用于人类、治疗或诊断应用。
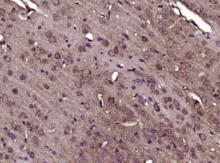
多聚甲醛固定,石蜡包埋(小鼠脑);用柠檬酸钠缓冲液(pH6.0)煮沸15min;用3%过氧化氢阻断内源过氧化物酶20分钟;阻断缓冲液(正常山羊血清)37℃30min;抗体(AdAMTS7(NT))多克隆抗体在1:400 OV下孵育在4°C下加热,然后根据SP试剂盒(兔子)说明和DAB染色进行操作。
公司优势:
1)质量:我司提供的的试剂为世界
2)价格:价格实惠,量大从优。
4)服务:提供完整的售前、售后和售中服务。售后到底
如需订购ADAMTS7(NT)抗体,请联系我们。
| Anti-fgl2 (Fibrinogen-like 2) 凝血酶原酶抗体/纤维介素蛋白/前凝血素抗体 |
| anti-Fibulin 1 抗“衰老关键蛋白”抗体 |
| Anti-Fibulin-5 抗“衰老关键蛋白”抗体 |
| Anti-FLIP S/L (Flice-like Inhibitory Protein) 凋亡调节基因之一抗体 |
| Anti-FLIPS (Flice-like Inhibitory Protein S) 凋亡调节基因之一抗体(短型) |
| Anti-FN (Fibronectin) 纤维连结蛋白抗体 |
| Anti-FOSB FosB抗体 |
| Anti-FOSL1 (FOS-like antigen-1) FOSL1抗体 |
| Anti-FOSL2 (FOS-like antigen-2) FOSL2抗体 |
| anti-FoxP1(Forkhead box P1) FoxP1(T细胞转录因子)抗体 |
| Anti-FoxP3 叉头蛋白3-T细胞转录因子 |
| anti-Measles virus of fusion protein 抗麻疹病毒抗体(麻疹病毒融合蛋白) |
| Anti-FSH (Anti-Human Follicle Stimulating Hormone Monoclonal Antibody) 鼠抗人促卵泡生成素单克隆抗体 |