英文名称:Anti-Amphiregulin
中文名称:双调蛋白/结肠直肠细胞源性生长因子抗体
抗体来源:兔
克隆类型:多克隆
交叉反应:人、大鼠、小鼠、狗、牛、马、兔子、绵羊
产品应用:WB=1:500-2000 ELISA=1:500-1000 IHC-P=1:400-800 IHC-F=1:400-800 Flow-Cyt=1:ug/test IF=1:100-500(石蜡切片需做抗原修复)
尚未在其他应用程序中测试。
用户终应确定合适稀释浓度。
分子量:16kDa
细胞定位:细胞膜
状态:冻干或液体
浓度:1mg/ml
来源于:KLH conjugated synthetic peptide derived from human Amphiregulin:185-252/252
亚型:IgG
纯化方法:affinity purified by Protein A
储存液:0.01M TBS(pH7.4) with 1% BSA, 0.03% Proclin300 and 50% Glycerol.
别 名:AR; Colorectum cell derived growth factor; CRDGF; A REG; AR antibody; AREG; Colorectum cell derived growth factor; CRDGF; MGC13647; Schwannoma derived growth factor; SDGF; AREG_HUMAN.
保存条件:在-20°C下保存一年。避免重复冻融循环。冻干抗体在室温下至少稳定一个月,并在-20°C下保持一年以上。当在无菌pH7.4 0.01M PBS或抗体稀释剂中重组时,抗体在2-4°C下至少稳定两周。
产品介绍
双iregulin的表达是由佛波酯、雌激素、雄激素和其他EGFR配体诱导的。在体外,安非他命作为一种自分泌生激物来驱动结肠癌细胞、正常和癌基因转化的乳腺上皮细胞、宫颈癌细胞、前列腺癌细胞和角质细胞的增殖。两性霉素在人胎盘和小鼠乳腺发育中起重要作用。据报道,它在乳腺癌、结肠癌、胃癌和胰腺癌中过度表达。
功能
egf受体/egfr的配体。自分泌生长因子,以及广泛的靶细胞,包括星形胶质细胞,Schwann细胞和成纤维细胞的有丝分裂原。
亚单位
未成熟前体与CNIH相互作用。
膜;单通道膜蛋白。
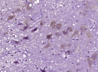
多聚甲醛固定,石蜡包埋(大鼠脑);用柠檬酸钠缓冲液(pH6.0)煮沸15min后获得抗原;用3%过氧化氢阻断内源过氧化物酶20分钟;阻断缓冲液(正常山羊血清)37℃30min;抗体(2 -调节蛋白)多克隆抗体在1:400下孵育。在4°C下,然后根据SP试剂盒(兔子)说明和DAB染色进行操作。
重要注意事项:
本产品仅用于研究用途,不用于人类、治疗或诊断应用。
公司优势:
1)质量:我司提供的的试剂为世界
2)价格:价格实惠,量大从优。
4)服务:提供完整的售前、售后和售中服务。售后到底
如需订购双调蛋白/结肠直肠细胞源性生长因子抗体,请联系我们。
| Anti-APP695/770(Amyloid protein precursor 695/770 ) 淀粉样肽前体蛋白抗体 |
| Anti-AQP-2(aquaporin Protein-2) 水通道蛋白-2抗体 |
| Anti-AQP-3(aquaporin Protein-3) 水通道蛋白-3抗体 |
| Anti-AQP4(aquaporin Protein-4) 水通道蛋白-4抗体 |
| Anti-AR(Androgen Receptor) 雄激素受体抗体 |
| Anti-AYT (ARG3.1 Activity-regulated cytoskeleton-associated protein) AYT抗体 |
| Anti-ARF6 (ADP-ribosylation factor 6) ADP核糖基化因子6抗体 |
| Anti-Aromatase P450 芳香化酶/细胞色素P450/P450抗体 |
| anti-ARIP2a(Activin receptor 2A) 激活素受体2A/激活素受体相互作用蛋白2a抗体 |