您的位置: 网站首页 >> 产品中心 >> 细胞 >> 原代细胞 > HS;人滑膜细胞(原代细胞)
产品名称:

HS;人滑膜细胞(原代细胞)

产品型号: 产品时间: 2023-03-27
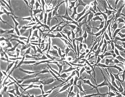
HS;人滑膜细胞(原代细胞)是健康滑膜组织的主要细胞类型,是成纤维细胞样细胞。滑膜细胞形成一种称为滑膜衬里层的*结构[1]。滑膜细胞产生滑液,负责从关节腔吸收并控制血液/滑液交换。滑膜细胞增殖,显示不依赖贴壁的生长,并分泌促进炎症和关节破坏的多种效应分子。此外,它们是自分泌和旁分泌作用因子的复杂网络的一部分。滑膜细胞为滑膜组织和形态发生提供了新的见解,是一种潜在的治疗靶点[2]。

产品概述

产品名称:HS;人滑膜细胞(原代细胞)​

​ScienCell:4700

5×10^5个细胞/瓶

来自ScienCell研究实验室的HS从人滑膜中分离出来。HS在*代冷冻保存并冷冻。每个小瓶含有>5×10^5个细胞,1ml体积。HS的特征在于成纤维细胞样形态和用CD90和纤连蛋白特异性抗体的免疫荧光。HS对HIV-1,HBV,HCV,支原体,细菌,酵母和真菌均为阴性。在ScienCell研究实验室提供的条件下,HS可保证15次倍增。​

​该产品仅供研究使用。它未被批准用于人类,动物或体外诊断程序。​

经检测无支原体、细菌、酵母和真菌污染

​​​​​​​​​​​​​​​​​​​​​​​​​​​​​​​​​​​​​​​​​​​​​​​​​​​​​​​​​​​​​​​​​​

人滑膜细胞(HS)是健康滑膜组织的主要细胞类型,是成纤维细胞样细胞。滑膜细胞形成一种称为滑膜衬里层的*结构[1]。滑膜细胞产生滑液,负责从关节腔吸收并控制血液/滑液交换。滑膜细胞增殖,显示不依赖贴壁的生长,并分泌促进炎症和关节破坏的多种效应分子。此外,它们是自分泌和旁分泌作用因子的复杂网络的一部分。滑膜细胞为滑膜组织和形态发生提供了新的见解,是一种潜在的治疗靶点[2]。​

转基因细胞
大鼠肝癌细胞
小鼠T淋巴细胞瘤细胞
小鼠骨髓细胞
小鼠垂体瘤细胞

晅科生物为研究界提供各种高质量的正常人和动物细胞,细胞培养基和试剂,基因分析工具,细胞衍生的分子生物学产品,基于细胞的检测试剂盒和干细胞产品。

​客户在细胞培养过程中,有任何技术问题可以联系售后服务

 

参考:

[1]D(1962)人滑膜的电子显微镜检查。J Cell Biol。14:207-220。
[2]MB(2005)构建滑膜:钙粘蛋白-11介导成纤维细胞样滑膜细胞细胞间粘附。Arthritis Res Ther。7(2):49-54。​

晅科生物致力于为国内科研用户提供*质的产品,完善的服务。帮助您实验顺利。视天气状况和运输距离远近,公司与客户协商

 

1、从正常人、病人、小鼠、大鼠、兔、猪、牛等等组织中对原代细胞进行分离、培养、鉴定:我们将以客户要求为标准,提供多种属如正常人、病人、小鼠、大鼠、兔、猪、牛、其它动物原代细胞的分离、培养、鉴定,并提供相应的文件、资料、数据和检测证书。对于人源性细胞,必要时,在许可的条件下,我们尽可能的满足客户所提供的要求。

2、从建立实验性疾病动物(小鼠、大鼠、兔)模型体内组织中对原代细胞进行分离、培养、鉴定: 我们将以客户要求,建立标准实验性疾病动物模型,或客户提供实验性疾病动物模型,对原代细胞进行分离、培养、鉴定,并提供相应的文件、资料、数据和检测证书。 

​3NK、γδT、CD3AK、DC、CIK等特定免疫细胞的分离、诱导、表型鉴定、扩增和定向改造。

 

公司优势:
1)质量:我司提供的的细胞为世界ATCC和Sciencell
2)价格:价格实惠,量大从优,产品价格随时会变动,实时报价还请来电获取。
4)服务:提供完整的售前、售后和售中服务。售后到底

 

如需订购HS;人滑膜细胞(原代细胞)​​​​​​​​​​,请联系我们。

此外公司还提供:

大鼠皮层神经元细胞
大鼠主动脉平滑肌细胞
小鼠小胶质瘤细胞
鼠杂交骨髓瘤细胞
大鼠脑膜细胞

留言框

  • 产品:

  • 您的单位:

  • 您的姓名:

  • 联系电话:

  • 常用邮箱:

  • 省份:

  • 详细地址:

  • 补充说明:

  • 验证码:

    请输入计算结果(填写阿拉伯数字),如:三加四=7
分享到:
版权所有©2019 上海晅科生物科技有限公司 备案号:京ICP证000000号
  • 扫一扫,关注我们